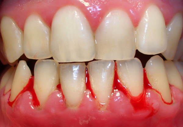
How To Deal With Bleeding Gums And Plaque

 

Nigerians are not big on dental health. We hardly can afford healthcare so how much more dental health. But there are ways around these things, however. The problem of bleeding gums was something I observed in close family members as a child and it terrified me at first but I have since found that it is more common than we think. Even so, it is one that can be solved.


Read more about How To


Brush Regularly

This is really the most common cause of the problem for most who have bleeding gums. People either do not brush enough or do not floss enough. Plaque develops along the gum line in your mouth and bleeding happens when the plaque chips or is removed. So, bleeding gums could be telling you to have poor dental hygiene.

Rinse Your Mouth With Hydrogen Peroxide

According to WebMD.com,

“hydrogen peroxide is a mild antiseptic used on the skin to prevent infection of minor cuts, scrapes, and burns. It may also be used as a mouth rinse to help remove mucus or to relieve minor mouth irritation (e.g., due to canker/cold sores, gingivitis). This product works by releasing oxygen when it is applied to the affected area. The release of oxygen causes foaming, which helps to remove dead skin and clean the area”.

Apparently, you are supposed to use after brushing your teeth. However, do not swallow the solution.

Quit Smoking

So smoking is bad as we all know but with respect to bleeding gums, smoking weakens the immune system and thus makes it susceptible to bacteria that cause bleeding gums in the mouth.


Sign up to the Connect Nigeria daily newsletter


Reduce Stress

Stress could make you neglect your dental health and thus lead to plaque and bleeding gums.

Take More Of Vitamin C And K

Vitamin C helps your immune system and Vitamin K helps your blood clot. A better immune system helps fight the bacteria that cause bleeding and if your blood clots are better then you may not bleed as much or as easily. Each vitamin helps fight bleeding gums. Oranges, sweet potato, red pepper and carrot are rich in vitamin C and collard greens, kale, spinach and mustard greens are rich in vitamin K.

Reduce Your Carb

Foods rich in carbohydrates encourage plaque and thence to bleeding gums eventually. Brushing and flossing may help but cutting down is better in the long run.

Take Green Tea

According to Healthline.com,

‘Drinking green tea on a daily basis may also reverse periodontal disease and stop bleeding gums. Green tea contains catechin, a natural antioxidant that can lower the body’s inflammatory response to bacteria in the mouth.’

Use Salt

Salt is bad for bacteria so rinsing your mouth with it will reduce the number of bacteria at work in your mouth hence reducing the risk of gum disease. A teaspoon of salt and warm water should work just fine. This would work even if the bleed was from an injury in the mouth as it would prevent the wound from being infected.

Do like and share as well as comment on whatever new methods you may know or have used to deal with it.

Featured Image Source: Daily Dental Care


Got a suggestion? Contact us: [email protected]

Most Popular